Invisalign
Invisalign
Invisalign: orthodontics with clear aligners
Invisalign is a clear‑aligner solution designed to straighten teeth discreetly.
Its key advantage: it fits easily into your routine with minimal day‑to‑day constraints.
The principle is simple: you wear custom‑made clear aligners. Typically, you switch aligners every two weeks; each step applies small adjustments until the final result.
Discreet, removable and comfortable, Invisalign improves your smile without disrupting your habits.
How the treatment works
During your visits, we build a personalised plan—whether you need a minor correction or a more significant change, Invisalign is tailored to your goals.
With ClinCheck, we review your plan in 3D and confirm the key points (aesthetics, bite, priorities) before we start.
Once the plan is approved, a series of custom aligners is manufactured. Each aligner is slightly different to move your teeth gradually into the desired position.
Each aligner is typically worn for about two weeks, then you move to the next. You remove them only for eating/drinking (except water) and for hygiene (brushing + flossing).
Throughout the treatment, regular check‑ups are scheduled to monitor progress until completion.
After treatment, a Vivera retainer helps stabilise the result. It maintains the new tooth position so your smile stays harmonious over time.
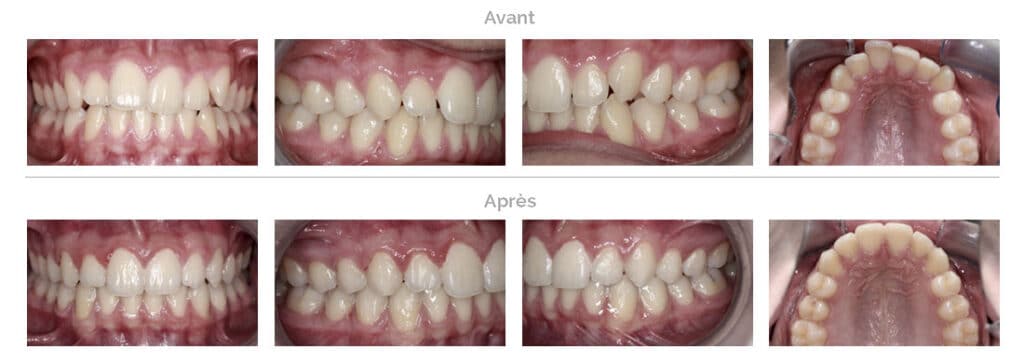
Treatment examples








Video

