Invisalign
Invisalign
Invisalign : orthodontie par aligneurs
Invisalign est une solution d’aligneurs transparents, conçue pour aligner les dents en toute discrétion.
Son grand avantage : il s’intègre facilement à votre rythme de vie, avec un minimum de contraintes au quotidien.
Le principe repose sur le port de gouttières transparentes fabriquées sur mesure. En général, vous changez d’aligneur toutes les deux semaines : chaque étape applique de légères corrections jusqu’au résultat final.
Discret, amovible et confortable, Invisalign améliore votre sourire sans bouleverser vos habitudes.
Déroulement du traitement
Lors des consultations, nous construisons votre plan de traitement sur mesure : qu’il s’agisse d’une correction légère ou d’un changement plus important, Invisalign s’adapte à vos objectifs.
Grâce à ClinCheck, nous visualisons votre plan en 3D et nous validons ensemble les points essentiels (esthétique, occlusion, priorités) avant de lancer le traitement.
Après validation du plan, une série d’aligneurs personnalisés est fabriquée. Chaque gouttière est légèrement différente afin de déplacer progressivement vos dents vers la position souhaitée.
Chaque aligneur se porte en moyenne deux semaines, puis vous passez au suivant. Vous les retirez uniquement pour manger/boire (hors eau) et pour l’hygiène (brossage + fil dentaire).
Pendant le traitement, des contrôles réguliers sont programmés afin de suivre l’évolution jusqu’à la fin.
Une fois le traitement terminé, une contention Vivera aide à stabiliser le résultat. Elle maintient la nouvelle position dentaire pour que votre sourire reste durablement harmonieux.
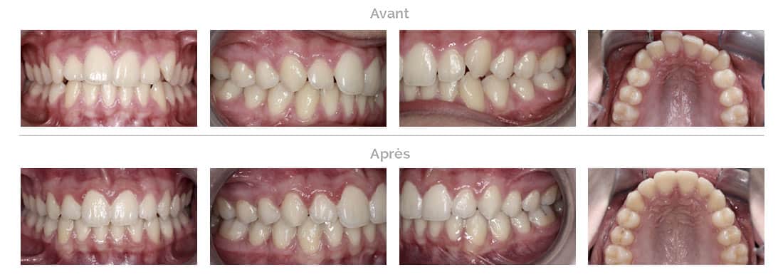
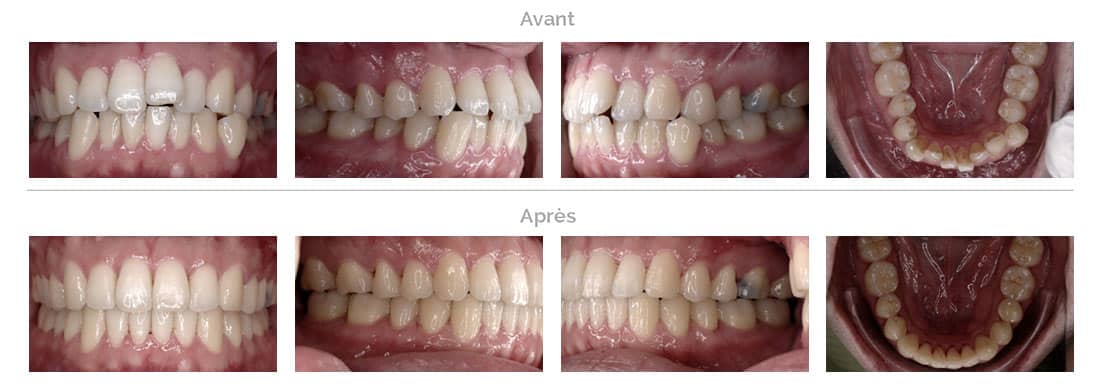
Exemples de cas traités








En vidéo

