Teeth whitening
Teeth whitening
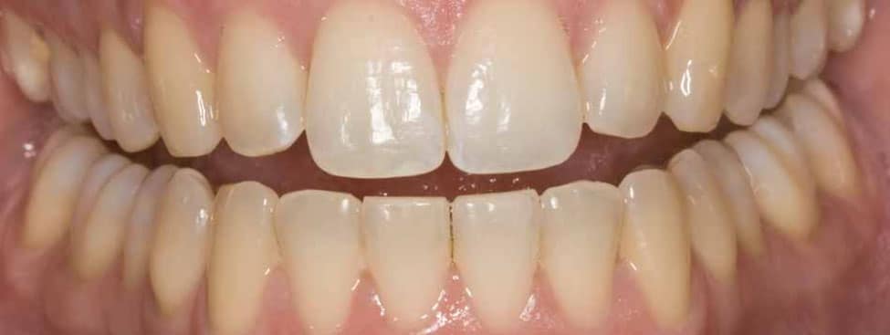
Looking for a brighter smile?
In Brussels, In The Municipality Of Uccle, Teeth Whitening Can Be The Ideal Solution To Brighten Your Smile.
The principle is simple: we lighten teeth by one or several shades using a gentle, gradual approach.
The active ingredient works on the enamel and diffuses into the dentine underneath.





