Orthodontics
Orthodontics
Orthodontics with clear aligners
Modern orthodontics makes it possible to straighten teeth very discreetly, without those around you noticing.
Clear aligners fit seamlessly into daily life, both privately and professionally.
Each week, you move to a new aligner—slightly different from the previous one—so your teeth are guided gradually toward the desired final position.
How does the treatment work?

1 – At the first appointment, we take a panoramic X-ray. We then analyze your situation and explain the possible esthetic and functional improvements. You receive a detailed quote with an estimated treatment duration.


2 – The second appointment is dedicated to a 3D digital scan using our latest intraoral scanner. This highly precise capture allows us to prepare a digital simulation and visualize the final treatment goal in 3D.

3 – Next, we plan the treatment in 3D software: each tooth movement is programmed to achieve optimal alignment. During this third visit, we show you the simulation and expected outcome, and answer all your questions before starting.

4 – At the 4th appointment, you begin treatment with your first clear aligners. We provide complete guidance (wear time, care, habits) as well as personalized advice to optimize the result.
5 – During treatment, check-ups are scheduled about every 8 to 10 weeks to monitor progress and ensure everything is evolving as planned until completion.

6 – Once treatment is finished, we provide retention to stabilize your new smile. It helps maintain the achieved position and prevent teeth from shifting again over time.
Treatment examples

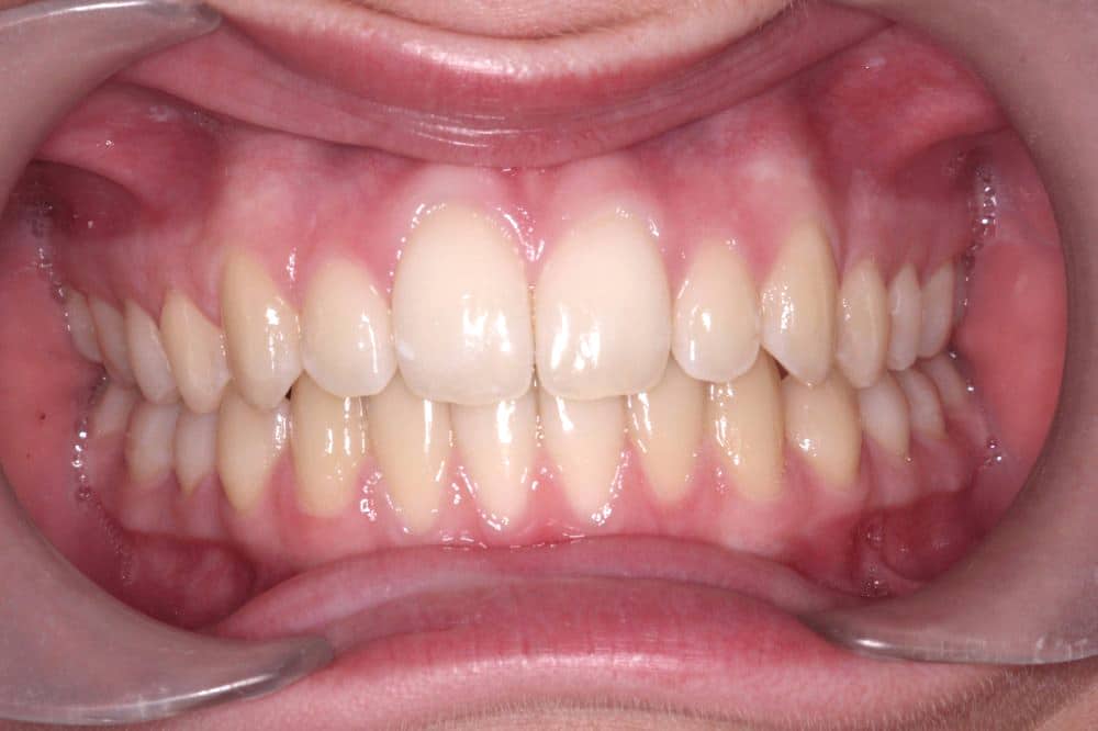
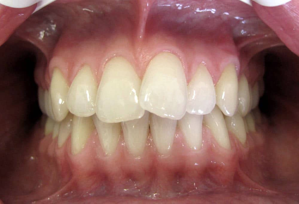
Before:
An open bite is a visible gap between the upper and lower teeth when you close your mouth. It can affect speech, make chewing difficult, and alter smile esthetics.

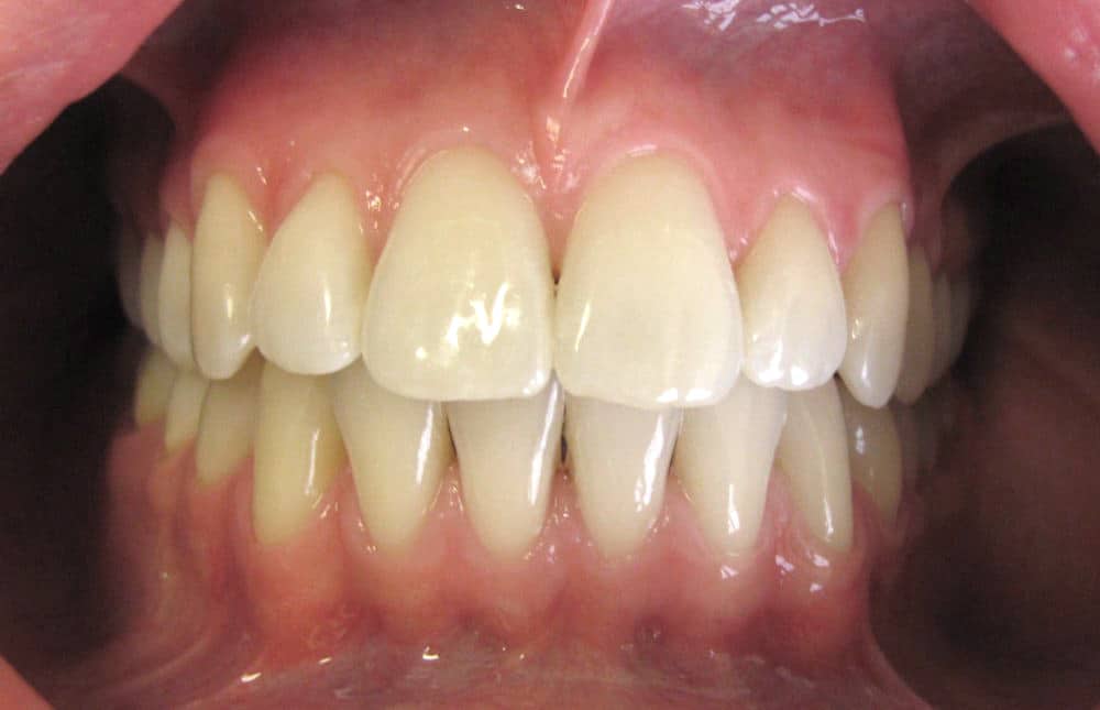
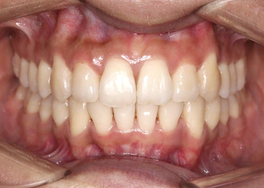
After:
Correcting the open bite restored a more balanced smile while improving chewing and speech.

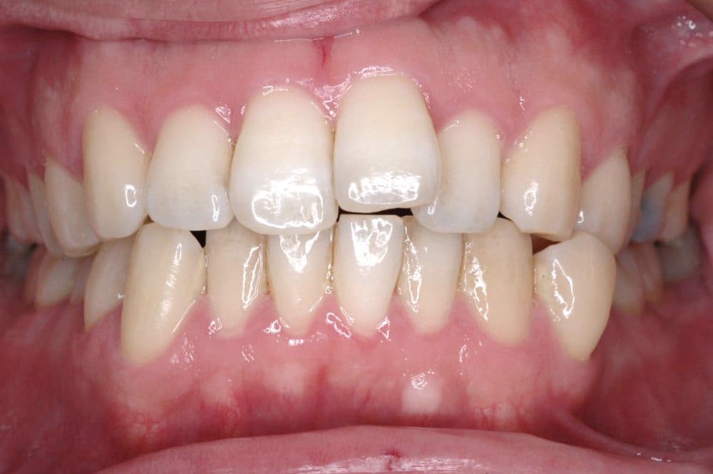
Before:
An edge-to-edge bite can lead to premature wear of the incisal edges. It may also disrupt posterior occlusion and cause discomfort when chewing.

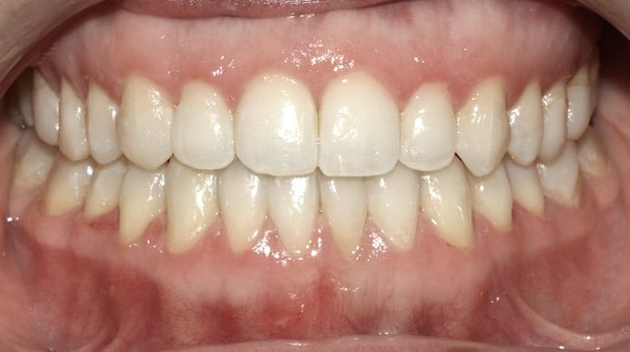
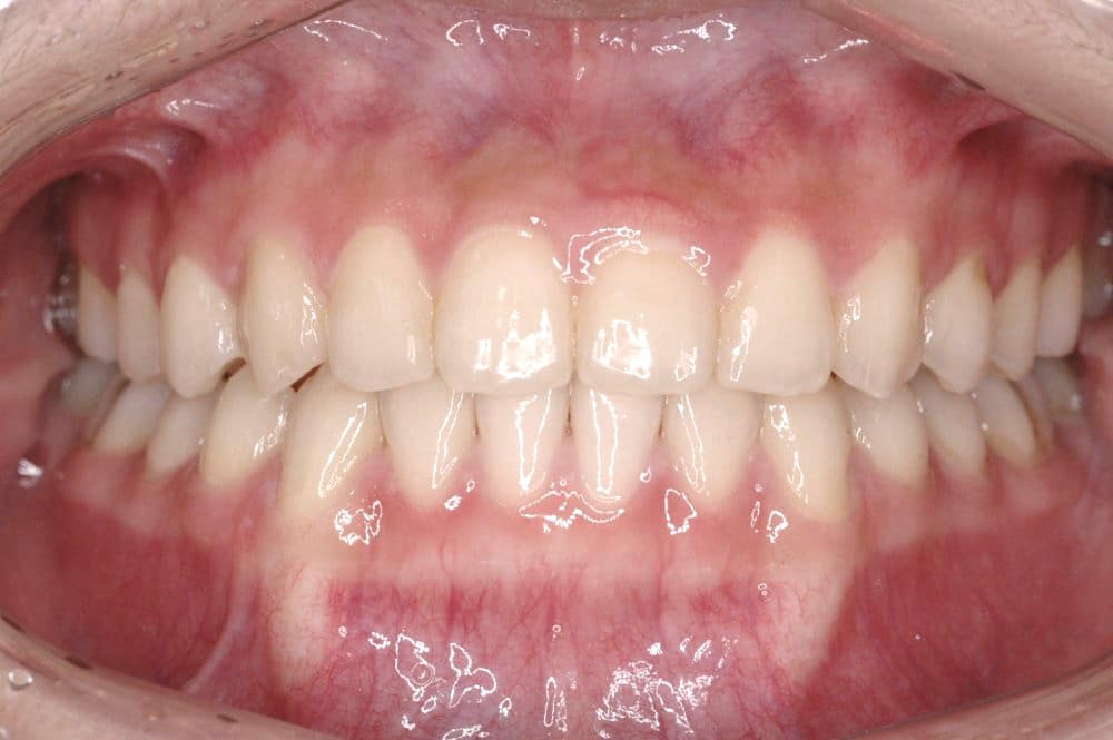
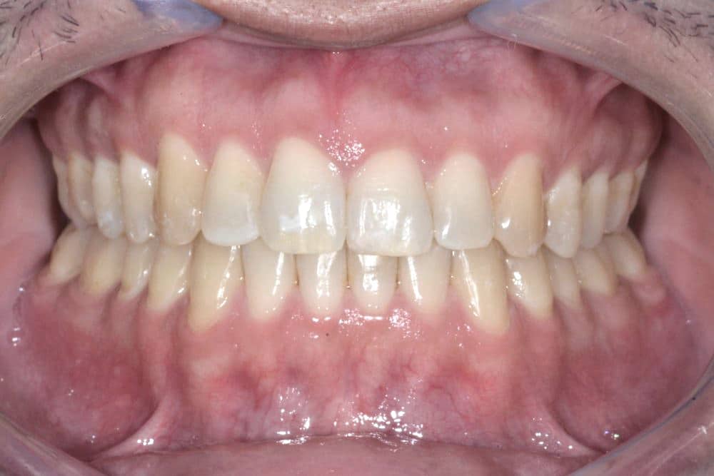
After:
Correcting the edge-to-edge bite improved smile esthetics and daily chewing comfort.

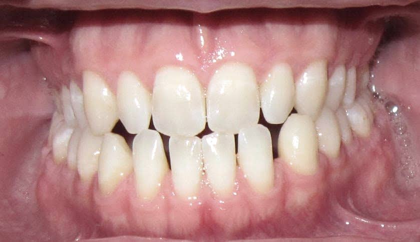
Before:
Beyond esthetics, significant crowding makes brushing and interdental cleaning much harder, which can promote gum inflammation and periodontal issues. Here, we can see recession on a lower incisor associated with the malposition.

After:
Orthodontic alignment improved tooth position, daily hygiene, periodontal balance, and overall esthetics.

Before:
Mild crowding often causes esthetic concerns and can make certain areas harder to reach when brushing.

After:
Correcting the crowding restored a more harmonious alignment that’s easier to maintain.

Before:
A crossbite occurs when the relationship between the dental arches is reversed on one or more teeth. It can cause chewing discomfort, affect speech, alter esthetics, and over time place excessive stress on the jaw joint. Early correction is important.

After:
Correcting the crossbite restored a more stable functional relationship between the arches, with better occlusal balance.

Before:
A deep bite means you bite too deeply. It can accelerate tooth wear and, in pronounced cases, cause painful trauma to the palate.

After:
Correcting the deep bite restored a more physiological incisal overlap and a more harmonious smile.

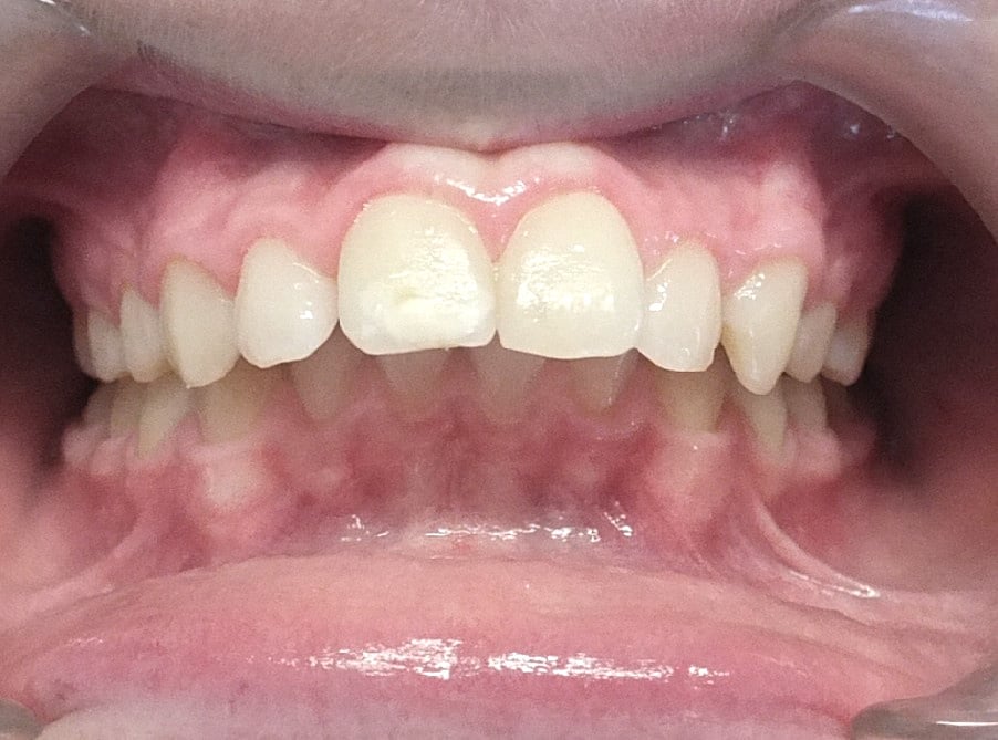
Before:
Often esthetically bothersome, this discrepancy can also be associated, in some cases, with periodontal fragility.

After:
Correction restored better incisor symmetry, with visible results in a few months depending on the initial situation.

Before:
A diastema breaks the continuity of the smile and can affect the perception of dental symmetry.

After:
Closing the diastema restored smile continuity and esthetic balance. In some cases, the result can be achieved in just a few months.

Before:
Spaces between teeth can be an esthetic concern and promote food impaction, with debris getting stuck more easily.

After:
Closing the spaces reduced food impaction and improved overall smile esthetics.

Before:
D’origine dentaire ou parfois osseuse (c’est la mâchoire du haut qui est trop en avant, pas les dents). Le port d’élastique dentaire entre les mâchoires va diminuer ce décalage inesthétique.

After:
Outre l’esthétique dentaire, le profil du patient a également été modifié. Il s’agit donc d’une amélioration double de l’esthétique globale : dentaire et du visage.

