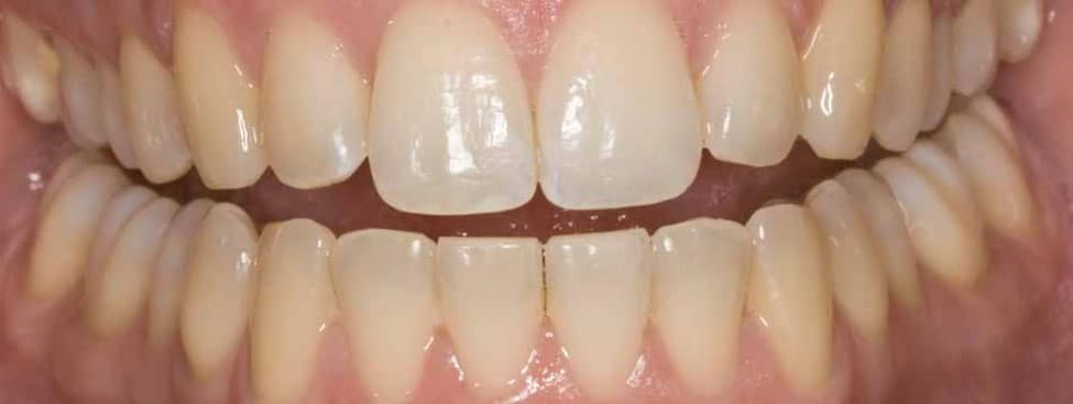
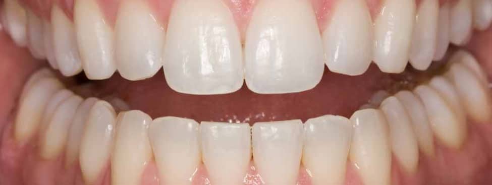
Blanchiment dentaire
Blanchiment dentaire
Vous désirez un sourire plus éclatant ?
À Bruxelles, dans la commune de Uccle, le blanchiment dentaire peut être la solution idéale pour éclaircir votre sourire.
Le principe est simple : on éclaircit les dents d’une à plusieurs teintes grâce à une technique douce et progressive.
L’agent actif agit sur l’émail et diffuse jusqu’à la dentine, située juste en dessous.





